How HCS Affects Me
Seeing the same basic paragraph of ancient info on Hajdu-Cheney Syndrome can be disheartening when you find yourself or a loved one don’t fit so well. In Fact, it leaves more questions than answers. My advice if you are new to HCS and just getting to know what it is then take everything with a grain of salt. You hear and see horror stories but those are the more extreme cases and the only thing you can do is cross that bridge if and when you get there. So, these are what I have going on today. No one else will have the same exact presentation.
Today, there are a few things going on. I don’t know where to start so why not go from system to system and give the details about what is wrong or going wrong?

Medications as of 9/15/24:
- Codeine 60mg 3-4x daily
- Tylenol 1g 4x daily
- Venlafaxine 225mg
- Iron 300mg/odd day
- Abilify 2mg 1x daily
- Various Vitamins
- Imodium 12-16mg/day
- Fibre lots
- Betaderm
Skin issues:
I Have had a few over the years. Eczema comes and goes with stress. I got Psoriasis on my ankles a few years ago and now it is on my elbow and knee. I have caught Shingles twice, once was in my twenties and then again later in my thirties.
Connective Tissues:

Credit: https://www.pharmacy180.com/article/connective-tissues-3464/
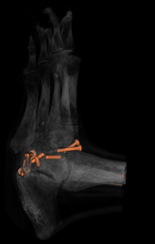
- Both of my feet are in bad shape and I am barely able to walk anymore. I had surgery to try and help my right ankle but the fusion was unsuccessful and all 3 screws broke in half. 1 of the halves was removed after it tried to come out on its own.
- My Right foot has a bone growing out the bottom from a deformed joint. It makes it very hard to stand, keep balance, walk, and causes a lot of pain when I try.
- My hips are stiff but otherwise fine
- My back has seen better days. There are some small older fractures and a wedge fracture at my T8, some hardware in the upper back that change the way stresses feel and it concentrates movement to fewer vertebrae. There is an osteophyte at T8 as well.
- My shoulders are almost dislocated. The right one is barely holding on because the clavicles and scapulae are essentially gone.
- My Left Thumb is dislocated in a few places, my ring finger is partially dislocated too. almost all my finger tips have dissolved away too.
- My shoulders do not raise higher than my head, there are bone fragments in one and both never ever worked 100% right – I couldn’t raise my arms vertically straight like everyone seems to.
- Both wrists do not bend backwards
- Both feet have very little up and down rocking movement left, the arch is gone and the metatarsals have a lot of erosion. There is a bone spike growing out the bottom causing a lot of pain for me.
Nerves:

I have a nerve somewhere on my back behind my shoulder. Because of the degeneration and lack of support my shoulder has nothing except my muscles to keep it in place. Recently it stopped firing so maybe some swelling from a fall was causing it.
The last nerve before this was a different one in my shoulder back in 2018 and 19, it was brutal and after wearing a brace and some physio with rest I was able to let it heal. I also needed to take nerve blockers like Gabapentin and Pregabalin to get over it. I found Pregabalin easier on the side effects side of things but both helped.
Before this was a nerve in my elbow back in 2017. Ever hit your funny bone so hard it feels like you’re on fire? Had shingles before? Nerve pain is so not cool. I also had shingles 2 x, once when I was in my 20’s and again in my late 30’s.
Bones:
Hands – My finger tips on both hands are quite dissolved and a few are gone. The other finger bones are quite thin with big knuckles. My right hand is more degenerated bone wise but my left hand is degenerated and has a dislocated thumb and ring finger so it’s not a lot of use. It is difficult to imagine that I was a great chef and worked until 5 years ago full-time.

Shoulders – Degenerated badly on my right side. My clavicle and scapula are essentially absent and there are fragments of bone left in the joint. On my left the clavicle is gone and the scapula is degenerating slower.
Ribs – On the right side 1-4 are fractured, 6th is fractured and the 7th has a displaced fracture. On the left the upper 2 ribs as well as my clavicle are gone. I also have a 7mm pneumothorax somehow.
Head – I think it is fine, my family will say otherwise jokingly. I have ringing in my ears and use glasses sometimes to read or use the computer now. My smell is off and not the same for the last 3 years since I had my accident tobogganing 2021 January 16th. My taste is more messed up than my smell is. Nothing is the same anymore. Occasionally I taste and smell things that aren’t there and don’t smell natural, like I’ve never smelled before. Coffee is ruined, beer – no good now, hot foods are killer, I cannot handle the heat at all, ketchup potato chips are spicy enough.
Jaw – Both my left and right jaw bones are dissolving too. on the left side the Glenoid Fossa and temporal bones are eroding, on the right side mandible the superior 1/3rd of the right ramus was missing back as far as 2018. There are also bony fragments in both joints
Neck – Well it is fused from my skull down to T3. There are 3 rods, 12 plates, and about 40 screws. There are a couple plates in the front but most is on the backside. We used donor bone, bone graft, and enough bone glue for 3 people to try and stabilize my neck.
The spine on my C2 is destroyed and pieces of C3 can be seen floating around in the soft tissues. You cannot see it but there is something called foraminal stenosis going on. On the left side the outlet for one of my nerves is narrowing and causing some balance issues and affecting the feeling in the ends of my feet.
My Occipital Bone fused itself to the base of my skull some time ago. This probably explains why I could never turn my head all the way. There is a small bone called the Odontoid Process, mine broke off and fractured and then has probably reattached at a bad angle. IDK to be honest because it is not like I could turn my head or look up and down if I wanted lol.

Left side: Before Traction to stabilize my neck
Right Side: After the tobogganing accident
On the left there is one vertebrae entirely pushed out front of the one above and the one below. This is another Blessing in a way that I somehow survived a broken and dislocated head. There are fractured off pieces of bone floating around and I don’t doubt one of those suckers is why my taste and smell are messed up so much. It may also explain a lot of the lost mobility in my right shoulder, though that could just be degeneration in the joint.
Left: How Grande Prairie Regional Hospital Doctors let me walk out, not once but twice, without help or supports is far beyond me
Right: MRI after I had the toboggan accident.

On the MRI we can see my Blessing in greater details. If it wasn’t for all that extra white space around my spinal cord it would certainly have been the end for me!! Behind it you can see a mass of soft fibrous tissues as Hajdu Cheney does it’s thing back there breaking down bones and bad tissues as well as any good cells caught in the cross-fire. There were a lot of small fragments that my body will absorb back in or form a Cyst around it.


This was towards the end of June 2022, I had an accident and whipped myself up too fast from a laying position. I felt it instantly and just lay on my bed quietly crying for a few moments. The kids are usually around when this stuff happens and I feel horrible that they witness it.
Further down at my T8 there is an Osteophyte growing and it can be really uncomfortable against hard chair backs or hard surfaces like the floor. It is weird not to be able to lay flat on my back and I miss it even though I sleep on my sides.
My hips and legs are weakening because I cannot run or jump or do anything really strenuous with them. My feet are a dumpster fire too.

The left foot has deformities and is flattened, there is a ton of resorption and calcaneus deposits. There is a callus forming where some bone is growing on the bottom of my foot. The tip of my big toe is mushroomed and dissolved too. There is some fragmented and degenerated bone at the talonavicular joint and calcaneocuboid joint. The fifth metatarsal has a nonunited growth plate and/or fracture. The right foot is about the same except it has 5 half screws stuck in it and the bone growing on the bottom was cut off back in 2021 during surgery. There is still a slightly bulging area but it is much better on the pain scale.




There is a lump again on my left butt cheek. I fell quite hard once and fractured a piece of bone off and it ended up forming a cyst around it. It felt like I was sitting on a large marble or golf ball towards the end before I had it cut out. It is just scar tissue but every time I fall on my ass it gets bigger. I am averaging 3x a year for the last while.
When I had the stitches out I decided to have a bath after a few days, I thought I would be safe. NOPE, I reached forward and felt a rip and then the water turned red. I quickly jumped out and Mel wrapped in a towel. We had just had our 2nd daughter so with the 3 kids she couldn’t wake them up to drive me and wait in emergency so I drove sitting sideways with my ass wrapped up half hazardly. The triage nurse wanted to see so I reluctantly pulled the towel away right there in front of everyone and was rushed in for new stitches.
A few months after I woke up and my right arm was swelling from a DVT. After treatment and investigation the Dr of internal medicine and I concluded it was likely because I have no clavicles and when I slept I pinched the vein closed and it clotted.
My Guts are always hurting and it is probably a combo of the osteoarthritis and Meds that have caused IBS for over 4 years now. Almost exactly since going onto disability benefits in 2019. I don’t chew my food all that well because my jaw is so eroded out of the sockets and my teeth don’t line up either.
I think I am anemic and have a high heart rate as a result. I am also always low on energy and stamina too which makes sense. With some diet changes I am hoping to see improvements because I have lost 20 lbs since my cervical fusion.
Spinal Fusion From My Skull to my T3
July 13th 2022 – August 6th 2024

After 6 months with a partially dislocated neck it became completely dislocated and I needed immediate traction. There are still fragments of fractured bones in my neck.


It took about an hour for the Surgeon to attach the bolts to my skull, I admit I felt a little like Frankenstein’s Monster. I was really shocked at how little it hurt. It was quite a bit like getting a tooth pulled. I got the freezing, the small amount of drilling and then the bolts tightened up. Probably like getting braces put on.
One thing that happens all the time is me being used as a training opportunity. I tend to be very odd and unusual and I don’t mind extra doctors, nurses or whoever learning about HCS and they don’t always see someone getting fitted into Halo. There was an entire nursing class that came by to watch this time!!
The photo to the right here is clearly showing the paralysis on my left side of my face. This was about 2 weeks post op.


I had this halo bolted into my skull on the second day after being admitted. There is a pulley and some weights attached to stretch my neck back out.


Here is my first time sitting upright after more than 2 weeks, I felt like a bobblehead with a super heavy head but I was in that vest and halo so there was no bending above my mid back. I was more like a top lol.


Up top was a tough time, I had these brutal stitches that wouldn’t close, face half paralysed, and an NG tube that wouldn’t stay put. But, one by one the problems went away.



The Covid Protocols were ridiculous, we tried all sorts of combos, I was even kept in the covid quarantine room for most of my stay in the Trauma Ward.


Theissen!! What a nice surprise seeing you at the grand opening of Motion in the GP Mall!!

Seeing Daniel and the girls was always the highlight of any day. Coming back to Grande Prairie after what felt an eternity was such a wonderful thing. I am so thankful for the doctors and nurses here who took great care of me.
Since my Recovery from the Spinal Fusion I have had some other health issues recently
First of all, let me just say that for the year that followed my spinal fusion I felt great, I was more positive than I had been in years. Getting my cervical spine fused and stabilized relieved a tremendous burden from pain and the pain medications. The issues I have now are mostly pain related to my feet. I really do not want to sit down in a wheelchair so I am using a smart watch to monitor my steps. Unlike most people I am trying to get as few in as possible. I want to say these smart watches are no good at counting steps if mine is an indication. Perhaps it is busier than I thought with three children and a home to take care of.
next week I head to Edmonton for the final consult with the orthopedic surgeon regarding my foot. We will make a final decisive plan and move on it, at last.



Leave a word